İstanbul Ses Gazetesi
Manşetler
Günün Haberleri
Gazete Manşetleri
İstanbul Ses Gazete Arşiv
Künye
İletişim Formu
ANA SAYFA
ASAYİŞ
YURT HABER
İSTANBUL
GÜNCEL
İstanbul
9 °C
24
18:26
Zafer Partisi’nden Kağıthane’de deprem farkındalığı çalışması
17:10
6 Şubat depremlerinde hayatını kaybedenler dualarla anıldı
17:00
Başsağlığı anonsları Tuzla’daki telsizlerden yükseldi
15:05
Büyük Kucaklaşma Mitingi 7 Şubat Cumartesi, Saat 17’de, Uğur Mumcu Meydanı’nda…
15:00
Zeydan Karalar Memleketi Adana’ya Kavuştu
14:15
6 ŞUBAT DEPREMLERİNİN 3. YILDÖNÜMÜNDE ANMA PROGRAMI DÜZENLENDİ
22:28
Çalık: Tahliye adalet için yeterli değil, göreve iade şart
20:55
TSYD Adana Şubesi Koşusu'nu Zagros Rüzgarı kazandı
20:55
Merhum Asli Üyemiz Muhittin Ekiz'i saygıyla anıyoruz
20:55
Şanlıurfa Jandarma Koşusu’nda galibiyete Kubat Kasırgası ulaştı
Günün tüm
haberleri
Anasayfa
GÜNCEL
GÜNCEL
Yeni Yıl Hediyesinin Adresi Büyükçekmece Akm
HİNT OKYANUSU'NDA ÖLDÜRÜLEN KAPTAN SON YOLCULUĞUNA UĞURLANIYOR (1)
Kartal Belediyesinden Mardin’e Kitapla Sevgi Köprüsü
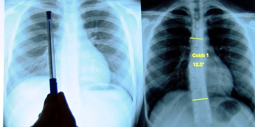
ERGENLİĞİN KÖTÜ SÜRPRİZİ SKOLYOZDA EZBER BOZAN ARAŞTIRMA
Hayırsever ’Robin Hood’ Üsküdar’da Ortaya Çıktı
SİLİVRİ'DE SİLAHLA ÖLDÜRÜLMÜŞ KÖPEĞİNİ GÖREN KADIN SİNİR KRİZİ GEÇİRDİ
YILBAŞI ÖNCESİ "MERDİVEN ALTI KURUYEMİŞ" UYARISI
Küçükçekmece, 2020’yi Zengin Kültür Sanat Takvimiyle Karşılıyor
YUNUS PARKLARI DERNEĞİ'NDEN, SAĞLIKTA 100 BİN RUS TURİST HEDEFİNE DESTEK
Yıldız Holding İkinci Sürdürülebilirlik Raporunu Yayınladı
Gaziosmanpaşa Belediye Spor Kulübü Türkiye 3’üncüsü Oldu
ALİŞAN, GÖRME ENGELLİ ÇOCUKLAR İÇİN KİTAP OKUDU
Eyüpsultan’da 2019’da 325 Ruhsat Verildi
2019 Yılında Seyahatte Büyük Şehirler Lider, Vizesiz Ülkeler Yükselişte
‘İyi Ki Varsın Kırkyama’ Sergisi Maltepe’de Açıldı
GÜNGÖREN'DE SOKAKTA CESET BULUNDU
YENİ YILA ÖZEL ‘İNDİRİM PANAYIRI’
BANKAYI 20 BİN TL'LİK BORCU İÇİN SOYMAYA KALKMIŞ
“Memnu Hakların İadesi İle İlgili Düzenlemeye İhtiyaç Var"
Gusto Giyim 90’lar Tarzına Döndü
Başkan Öztekin’in Sözünü Verdiği 53 Proje Bir Bir Hayata Geçiyor
'ROBİN HOOD', O SESE KAYITSIZ KALMADI
HALKALI'DAKİ KAZA ANI KAMERADA
Kaime’den Banknota Paranın Yolculuğu
Alişan’dan Görme Engellilere Anlamlı Destek
Esenler’de Tanburi Sadun Aksüt İçin Saygı Gecesi Düzenlendi
İKİ KARDEŞİN HAYATINI KAYBETTİĞİ FECİ KAZA KAMERADA
HURDALIK ALANDAKİ YANGIN 2 GECEKONDUYU KÜL ETTİ
BEŞİKTAŞ'TA OTOMOBİL İLE TAKSİ ÇARPIŞTI: 3 YARALI
İSTANBUL GENELİNDE ALKOL SATAN MEKANLARDA DENETİM YAPILDI
BEYOĞLU'NDAKİ SAINT ANTUAN KİLİSESİ'NDE NOEL AYİNİ DÜZENLENDİ
JOLLY TUR’DAN GELECEK NESİLLER İÇİN "MİRASIM TÜRKİYE" PROJESİ
ÇEKİLEN ARAÇLAR 24 SAAT KAMERA ALTINDA OLACAK
SİNAN AYGÜN, SAVCIYA İFADE VERDİ
Sankon’un Acı Kaybı
PAZARDA KABA ÜSLUBA 'TEZGAH KAPAMA' CEZASI
73 Yaşındaki Gezgin Rosie Swale Pope, Türk Çayı İçti, Atatürk Posteri Önünde Poz Verdi
ANKARA'DA BU YIL 185 BİN ADRESİN DOĞAL GAZ KONTROLÜ GERÇEKLEŞTİRİLDİ
GEMİDE ÖLDÜRÜLEN KAPTANIN CENAZESİ ADLİ TIP'TAN ALINDI
İSTANBUL'DA HASTANELERDE GRİP YOĞUNLUĞU; SAĞLIK PERSONELLERİ BİLE HASTA
Q Burger Yerli Ve Güvenilir
ATIK YEMEKLERLE 200 KÖPEĞİ BESLİYORLAR
İhlas Vakfı Afrika’da Su Kuyusu Açmaya Devam Ediyor
BAKAN VARANK: SERMAYEM YOK DİYEN GENÇLERİMİZİN YANINDA OLMAYA DEVAM EDECEĞİM
ORMAN GENEL MÜDÜRLÜĞÜ: KARADENİZ'DEKİ YANGINLARIN 38'İ SÖNDÜRÜLDÜ
(YENİDEN) - BAKAN VARANK: SERMAYEM YOK DİYEN YENİLİKÇİ GENÇLERİMİZİN YANINDA DAHA GÜÇLÜ BİR ŞEKİLDE OLMAYA DEVAM EDECEĞİZ
CEREN’İN KATİLİ, 'AKIL SAĞLIĞI' RAPORU İÇİN ELAZIĞ'A SEVK EDİLDİ
TRÜF MANTARINA ALICI ÇIKMADI, FİYATI YARIYA DÜŞTÜ
154
155
156
157
158
159
160
Haberler
Son Haberler
Manşetler
ASAYİŞ
YURT HABER
İSTANBUL
GÜNCEL
SPOR
SAGLIK
TANITIM
SİYASET
EKONOMİ
KÜLTÜR SANAT
MAGAZİN
BiYOGRAFi
DÜNYA
EĞİTİM
Diğer İçerikler
Foto Galeri
Web Tv
Yazarlar
Gazete Manşetleri
Kurumsal
Künye
İletişim
Gizlilik İlkeleri
Kullanım Şartları
Geliştiriciler İçin